
Diş Taşı Temizliği: Diş Kaybını Önleyen En Etkili Yöntem
Diş sağlığınızı korumak, genel sağlığınızın temelidir. Diş kayıplarının en önemli nedenlerinden biri olan diş eti hastalıkları ve diş taşı oluşumu hakkında bilmeniz gereken her şeyi bu kapsamlı rehberde bulacaksınız. Diş Temizletme Zararlı mıdır?
Diş Kayıplarının 1 Numaralı Sebebi: Diş Eti Hastalıkları

Hastalarımızın diş kayıplarının en önemli etkenlerinin başında, diş etlerinin iltihaplanmasına bağlı olarak dişleri çevreleyen kemiğin erimesi sonucu dişin sallanması ve çekilmek zorunda kalınması gelir.
Peki bu süreç nasıl işler? Diş eti hastalıkları nasıl gelişir?
Diş Eti Hastalıklarının Gelişim Süreci
1. Adım: Plak Birikimi Diş eti hastalıklarının sebebi, dişlerin yüzeyinde temizlenemeyen plak tabakasıdır. Plak, diş yüzeyinde uzun süre beklemiş ve olgunlaşmış bakterilerden oluşur.
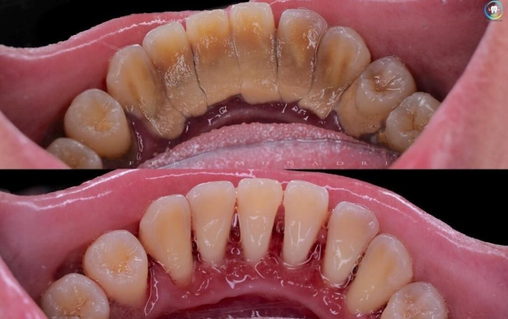
2. Adım: Diş Taşı Oluşumu Bu plak tabakası temizlenmediği takdirde diş üzerinde diş taşı veya tartar denilen sert, kristalize ve diş etini rahatsız eden yapı oluşur.
3. Adım: Diş Eti İltihabı Uzun süre temizlenmeyen diş taşları, diş etinin iltihaplanmasına, şişmesine ve kanamasına yol açar.
4. Adım: Kemik Erimesi Bu durumda iltihap hücreleri diş etinde yoğunlaşır ve zamanla bu bölgedeki kemiği, yani dişlerin çeneyle olan bağlantısını yok etmeye başlar.
5. Adım: Diş Kaybı Böylece dişler ağız içinde sallanmaya başlar. İşte dişlerin sallanmasının sebebi budur.
Önlenebilir Bir Süreç!
İyi haber şu ki: Basit bir diş taşı temizliği ile çok ciddi diş ve diş eti hastalıklarının önüne geçilebilir!
Diş Taşı Temizliği: Tedavinin Temelidir
Diş ve diş eti hastalıklarının engellenmesi ve tedavi edilebilmesi için şunlar gerekir:
✅ Dişteki bakteri plaklarının temizlenmesi ✅ Diş taşlarının uzaklaştırılması
✅ Diş etinin içerisine kadar girmiş ilerlemiş bakterilerin temizlenerek ortamdan uzaklaştırılması
Diş Temizliği Dişlere Zarar Verir mi?
Kesinlikle HAYIR!
Bahsettiğimiz bu temizleme işlemini gerçekleştirdiğimiz cihazların ve el aletlerinin dişe veya diş minesine zarar vermesi kesinlikle söz konusu değildir.
Diş temizliği ile bakteri plakları ve diş taşları uzaklaştırılır, yani bu işlem diş etinin tedavisidir. Bu yüzden “diş temizleme zararlı mıdır?” diye sorulan soruların aslında hiçbir mantığı yoktur. Bilakis diş temizleme son derece sağlıklı bir tedavidir ve etkisi anında görülür.
Diş Temizliği Sonrası Yaşanan Yaygın Endişeler
“Diş Temizliği Sonrası Diş Köklerim Açığa Çıktı!”
Diş taşlarının uzun süre temizlenmemesi nedeniyle diş etleri çekilmiş bir hastanın diş taşlarını temizlediğimizde diş kökleri açığa çıkar. Hasta, diş taşlarını temizlettiği için diş köklerinin açığa çıktığını düşünebilir.
Ancak asıl sebep: Belirttiğimiz gibi kötü ağız hijyeninden kaynaklanan diş eti çekilmeleridir, yapılan diş temizliğinden dolayı değildir!
Gerçek şu ki, diş taşları yıllardır çekilmiş olan diş etini örtüyordu. Temizlik sonrası gerçek durum ortaya çıkmıştır.
Önemli Not: Diş etlerinin daha da çekilmesinin önüne geçmek için çok iyi bir ağız hijyeni şarttır.
Diş Temizliği Sonrası Bakım: Başarının Anahtarı
İyi Ağız Hijyeni Nasıl Sağlanır?
İyi bir ağız hijyeni için düzenli diş fırçalama çoğu zaman yeterlidir. Ancak tabii ki diş fırçalama tekniğinin iyi bilinmesi ve düzgün uygulanması gerekir.
Diş temizliğinden sonra yeniden diş taşı oluşumunu yavaşlatmak ve hatta engellemek sizin elinizdedir!
Doğru Fırçalama Tekniği
Diş hekiminizin gösterdiği şekilde fırçalayarak ve ara yüz bakımını yaparak istenen ağız sağlığına kavuşursunuz.
Önemli Uyarı: Dişlerinizi temizlettikten sonra hızlı bir şekilde yeniden diş taşı oluştuğunu düşünüyorsanız, fırçalama şeklinizi gözden geçirmelisiniz.
Mantık basit: Temizlenen bir yer yeniden kirleniyorsa, iyi bakılmadığı anlamına gelir.
Ağız Sağlığı = Genel Vücut Sağlığı
Ağız sağlığının genel vücut sağlığının bir parçası olduğunu düşünerek dişlerinizin bakımını ihmal etmeyin ve gerekiyorsa dişlerinizi mutlaka temizlettirin.
Diş Taşı Temizliğinin Faydaları
✅ Diş kayıplarını önler ✅ Diş eti hastalıklarını tedavi eder ✅ Ağız kokusunu giderir ✅ Genel sağlığı korur ✅ Kalp-damar hastalıkları riskini azaltır ✅ Diyabet kontrolünü kolaylaştırır ✅ Tedavi maliyetlerini minimize eder
2026 TDB Fiyat Tarifesi
Detartraj (Diş Taşı Temizliği – Tek Çene): 3.300 TL
Her iki çene için tam ağız temizliği: 6.600 TL
Bu basit ve etkili işlem, ileride karşılaşabileceğiniz on binlerce liralık tedavi masraflarından sizi kurtarır.
Hasta – Diş Hekimi Diyaloğu
Hasta: Doktor hanım, diş temizliği yaptırmak istiyorum ama duyduklarım beni korkutuyor. Dişler zarar görürmüş, diş etleri çekilirmiş, sonra hassasiyet olurmuş…
Dr. Zeynep Aydın: Anlıyorum, maalesef toplumda çok yanlış bilgiler dolaşıyor. Öncelikle şunu söyleyeyim: Diş temizliği dişlere kesinlikle zarar vermez. Tam tersine dişlerinizi ve diş etlerinizi korur.
Hasta: Peki ama komşum temizlik yaptırdıktan sonra dişleri arasında boşluklar açılmış dedi.
Dr. Zeynep Aydın: Bu çok yaygın bir yanlış anlaşılma. Bakın, yıllarca temizlenmeyen diş taşları, aslında çekilmiş olan diş etlerini kapatıyordu. Temizlik sonrası gerçek durum ortaya çıktı. Yani diş etleri zaten çekilmişti, sadece diş taşları bunu gizliyordu.
Hasta: Anladım. Peki bu işlem ağrılı mı?
Dr. Zeynep Aydın: Hayır, modern ultrasonik cihazlarla neredeyse ağrısız bir işlem. Sadece hafif bir titreşim hissedersiniz. Eğer hassasiyetiniz varsa lokal anestezi de uygulayabiliriz.
Hasta: Ne sıklıkla yaptırmam gerekir?
Dr. Zeynep Aydın: İdeal olan yılda 2 kez, yani 6 ayda bir temizlik yaptırmaktır. Ama önce sizin ağız sağlığınızı değerlendirmem gerekir. Muayene edelim, durumunuza göre en uygun planı yapalım.
Hasta: Diş temizliği yaptırdıktan sonra dikkat etmem gereken şeyler var mı?
Dr. Zeynep Aydın: Çok önemli bir soru sordunuz! Aslında diş temizliği sonrası en kritik nokta düzenli fırçalamadır. Size doğru fırçalama tekniğini göstereceğim. Günde 2 kez, her seferinde 2 dakika fırçalamak ve diş ipi kullanmak şart.
Hasta: Bazı arkadaşlarım “ben her gün fırçalıyorum, temizliğe gerek yok” diyor.
Dr. Zeynep Aydın: Ne yazık ki diş fırçası her yere ulaşamaz. Özellikle diş etinin altındaki bölgelere, arka azı dişlerinin arkasına, diş aralarına fırça tam olarak ulaşamıyor. Oralarda biriken plak zamanla diş taşına dönüşüyor. O yüzden düzenli fırçalama çok önemli ama yine de profesyonel temizliğin yerini tutmuyor.
Hasta: Peki temizlik sonrası hassasiyet olur mu?
Dr. Zeynep Aydın: Çok kalın diş taşı birikimi olan hastalarda geçici hafif bir hassasiyet olabilir. Ancak bu 3-7 gün içinde kendiliğinden geçer. Hassasiyet giderici diş macunu kullanarak bu süreci daha rahat geçirebilirsiniz. Ayrıca florür uygulayarak da bu hassasiyeti minimuma indirebiliriz.
Hasta: Maliyeti ne kadar tutar?
Dr. Zeynep Aydın: Tek çene temizlik 3.300 TL, her iki çene için 6.600 TL. Ama şunu söylemek isterim: Bu basit bir önleyici işlem. Eğer diş taşlarını temizletmezseniz, ileride periodontal tedavi için 15.000-50.000 TL, diş kaybı durumunda implant için 35.000-60.000 TL ödemeniz gerekebilir. Yani 6.600 TL’lik önleyici bakım, on binlerce liralık tedavi masrafından sizi kurtarır.
Hasta: Çok mantıklı. Galiba ben de çok geç kalmadan yaptırmalıyım.
Dr. Zeynep Aydın: Kesinlikle! “En iyi zaman şimdi” diye boşuna demiyor insanlar. Hemen bir muayene yapalım, durumunuzu değerlendirelim ve size özel bir tedavi planı hazırlayalım. Ağız sağlığınız, genel sağlığınızın temelidir unutmayın.
Hasta: Peki randevu alabilir miyim?
Dr. Zeynep Aydın: Tabii ki! WhatsApp hattımızdan 0555 XXX XX XX numaraya mesaj göndererek size en uygun randevu saatini ayarlayabiliriz. Sekreterimiz 24 saat içinde size dönüş yapacaktır.
Hasta: Çok teşekkür ederim doktor hanım, hemen mesaj gönderiyorum.
Dr. Zeynep Aydın: Rica ederim. Sağlıklı gülüşlere kavuşacaksınız, merak etmeyin. Görüşmek üzere!
Hemen Harekete Geçin!
📱 WhatsApp Randevu Hattı: 0555 XXX XX XX
✅ 24 saat içinde dönüş yapıyoruz ✅ Size özel tedavi planı hazırlıyoruz ✅ Uygun ödeme seçenekleri sunuyoruz ✅ Modern cihazlarla ağrısız tedavi
Unutmayın: Bugün atacağınız küçük bir adım, yarın daha sağlıklı bir gülümseme ve daha mutlu bir yaşam demektir!
Son Güncelleme: 23 Mart 2026
Kaynak: TDB 2026 Yılı Rehber Tarife Kitapçığı, Klinik Deneyim
Yazan: Diş Hekimi Dr. Zeynep Aydın
Bu içerik bilgilendirme amaçlıdır ve profesyonel diş hekimi muayenesi yerine geçmez. Kişisel tedavi planınız için mutlaka diş hekiminize başvurunuz.

Küçükçekmece İmplant Fiyatları 2026
2026 Küçükçekmece İstanbul implant fiyatlarını mı merak ediyorsunuz? Dr. Sertaç Kızılkaya’dan Atakent, Halkalı, Sefaköy, Florya ve Cennet Mahallesi bölgesine özel güncel marka...
Devamını Oku
En Kaliteli İmplant Hangisi?
Bunun tek bir cevabı olmasa da çok can alıcı bir soru değil mi?. Hangi implant kaliteli dediğimizde implant uygulama işlemi sırasında ve sonrasında sorun yaşamayacağınız implantlar...
Devamını Oku
2026 TDB Diş Fiyatları
Uzman Diş Hekimi ile Kapsamlı Röportaj Röportaj: Basın Temsilcisi ile Diş Hekimi Sertaç Kızılkaya Bugün İstanbul’daki kliniğinde uzun yıllara dayanan deneyimiyle hizmet veren Diş...
Devamını Oku








Yorum Yap